3分でかかりつけ医を探せて相談もできる情報サイト 〜患者の気持ち〜
病医院・クリニック案内トップページへ
 

  【おきとう矯正歯科・歯を抜かない矯正治療例】


【主訴】
乱杭歯(13歳)


【治療期間】
1年3ヶ月(保定期間除く)


【治療方針】
歯を抜かない為に大臼歯を遠心移動することにより口元を出さないようにしました。

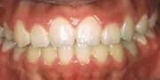
■治療前(正面)
■治療後

■治療前(上顎)
■治療中
■治療治療後
治療前と治療後を見比べていただくと抜歯をせずに、きれいな歯並びになっていることがわかります。



■治療前
■治療後
抜歯をしていない矯正治療にもかかわらず、口元が突き出ていないことが分かります。


トップページへ

 


 

 

 

運営:
かかりつけ医認知度アップ委員会

提供:
有限会社メディコ コンサルティング

Copyright (C)2004 Medico Consulting