3分でかかりつけ医を探せて相談もできる情報サイト 〜患者の気持ち〜
病医院・クリニック案内トップページへ
 

 

【えびす矯正歯科・治療例のご紹介】

【矯正治療例】

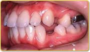
治療前
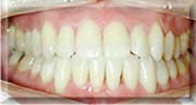
治療後
治療内容

治療前は、歯が凸凹しておられました。

18ヶ月で治療後の写真のように綺麗になりました。

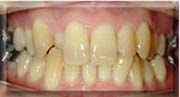
治療前
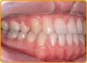
治療後
治療内容

治療前は咬み合わせが受け口でした。

しかしながら矯正治療と顎の手術をお受け頂き、正しい咬み合わせと綺麗な歯並びになりました。

 

【見えない矯正治療例】

外から見えない矯正装置
上の歯の裏側の装置

矯正の装置は医院によってさまざまです。
上に 紹介する装置はえびす矯正歯科で使用している装置の一例です。
装置の種類にはメタル、ゴールド、セラミック、デーモンブラケット、STbブラケット、 リンガルブラケット、プレート装置、インビザラインの様な装置、部分矯正装置などさまざまな装置があります。

矯正の装置は医院によってさまざまです。

 

【ホームホワイトニング治療例】

治療前
治療後

ホームホワイトニングは、自宅で簡単に行える歯の漂白です。

歯を傷つけることなく、安全に歯を漂白することができます。
患者さんの歯型を採取しその患者さん用の漂白用個人カスタムトレーを作成します。

そのトレーの中にホワイトニング剤を注入し、就寝中に装着します。また、昼間の時間に使用する事も可能です。

トレーは薄いので歯にはめても外からあまり分かりませんし、装着違和感も少ないです。

ホームホワイトニングを初めてから4〜5日ぐらいで漂白効果が現れ、約3週間後には、あなたの歯は自然な美しい白い歯に生まれ変わります。

さらに、ホワイトニング効果を高めたい方はホワイトニング剤のみの購入で継続する事が出来ます。

カスタムトレーはそのまま使用可能だからです。

オフィスホワイトニング
最新型のレーザーで歯を削ることなく白い歯にすることができます。

飲食物、タバコ、加齢などにより変色、色素沈着した天然の歯に対して効果がありますが、 歯が虫歯だったり、歯周病に冒されている方は先に治療が必要になります。
唇と歯茎を保護して、歯の部分のみに薬液を塗っていきます。
レーザーを2回に分けてじっくり照射していきます(1回15〜20分)。
いったん少し歯を休ませ、 再びレーザーを照射します。

 

トップページへ


 


 

 

 

運営:
かかりつけ医認知度アップ委員会

提供:
有限会社メディコ コンサルティング

Copyright (C)2004 Medico Consulting