3分でかかりつけ医を探せて相談もできる情報サイト 〜患者の気持ち〜
病医院・クリニック案内トップページへ
 

【日本橋梶村歯科医院・治療例】

『審美歯科治療例』

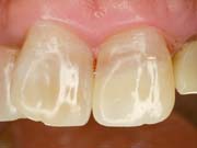
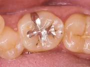
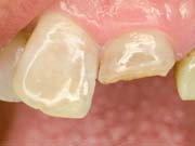
治療前
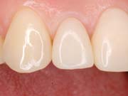
治療後

<コンポジットレジン修復>

大きなお口を開けて笑った時に銀歯が気になるということで来院されました。

当院にて、目立ってしまう銀歯の詰め物の代わりに、自然な歯の色に近い詰め物にされました。

 

治療前
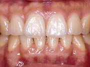
治療後

<審美修復>

差し歯が取れて来院されました。

横の歯にあった小さなむし歯を詰めた後、セラミックのかぶせものをして自然な感じに仕上がりました。

 

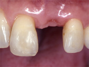
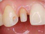
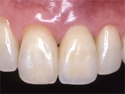
治療前
治療後

<歯の欠損修復>

歯が欠けてしまった部分を治しました。

この場合は残っている歯を全く削ることなく、1日で修復することが出来ました。

 

『インプラント治療例』

治療前
治療後

<インプラント(人工歯根)治療>

失われた歯の代わりにインプラント(人工歯根)を顎の骨に埋め込む治療法です。

インプラント治療により、ご自身の歯と同様にお肉などもしっかり噛めるようになります。

ブリッジにように他の歯に負担をかけたり、入れ歯のような違和感もありません。

 

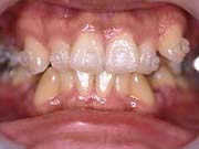
『矯正歯科治療例』

治療前
治療後

<歯列矯正>

歯の矯正装置が目立って嫌だという患者さまのために、当院では目立ちにくい透明な矯正装置(プラスチックブラケット)を用いた矯正治療も行っております。

※上記症例の写真掲載につきましては、患者様のご了承を頂いております。

 

<レーザー治療>

ほとんど痛みがないレーザー治療器です。

特に初期虫歯の治療、歯周病治療や歯ぐきの黒ずみ除去、口内炎・知覚過敏治療に有効です。

人体に害は全くなく、妊婦の患者さまもご安心して受診頂けます。




 <マイクロスコープ>
通常、肉眼では見えない部分の精密治療を可能にします。

トップページへ


 


 

 

 

運営:
かかりつけ医認知度アップ委員会

提供:
有限会社メディコ コンサルティング

Copyright (C)2004 Medico Consulting