3分でかかりつけ医を探せて相談もできる情報サイト 〜患者の気持ち〜
病医院・クリニック案内トップページへ
 



【こんの歯科医院・矯正歯科治療例について】

当院の矯正歯科治療例をご紹介致します。
素敵なあなたらしい笑顔を手に入れ、おもいっきり笑ってください。
当院では、低料金にて矯正治療を行っております。
お気軽にご相談下さい。

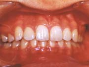
【出っ歯の治療】
治療前 治療後

【受け口の治療】
治療前 治療終了直前

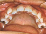
【八重歯の治療】
治療前 治療後

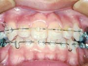
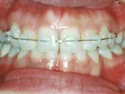
【目立たない矯正装置】
矯正装置が目立って嫌だという方も多いと思います。

そこで 当院では、透明で目立たない矯正装置による治療も行っております。


トップページへ
インプラントページへ

 


 

 

 

運営:
かかりつけ医認知度アップ委員会

提供:
有限会社メディコ コンサルティング

Copyright (C)2004 Medico Consulting