3分でかかりつけ医を探せて相談もできる情報サイト 〜患者の気持ち〜
病医院・クリニック案内トップページへ
 

 

ゆたか歯科クリニック 詳細情報

 

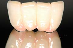
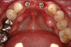
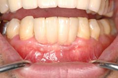
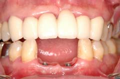
インプラント(人工歯根)

治療の流れ

説明文1 説明文1 説明文1 説明文1 

      ↓      ↓      

      ↓      ↓      ↓

      ↓      ↓      ↓

説明文2 説明文2 説明文2 説明文2 

      ↓      ↓      ↓

      ↓      ↓      ↓

      ↓      ↓      ↓

説明文3 説明文3 説明文3 説明文3 

 

 

〜当院のそのほかの医療機器 〜
説明文4 説明文4 説明文4  説明文5 説明文5 説明文5 

 

 

 

 


 

 

 

運営:
かかりつけ医認知度アップ委員会

提供:
有限会社メディコ コンサルティング

Copyright (C)2004 Medico Consulting