3分でかかりつけ医を探せて相談もできる情報サイト 〜患者の気持ち〜
病医院・クリニック案内トップページへ
 

 

ナンバデンタルオフィス 詳細情報

〜当院技術例〜

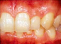
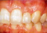
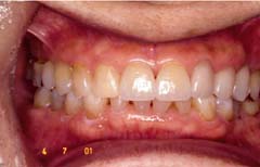
 ■ホームブリーチング■

施術前

施術後

「ホームブリーチング」とは歯の色を明るく・白くする治療方法です。
診療室で治療をする「オフィスブリーチング」と自宅で行う「ホームブリーチング」があります。

当院 では「ホームブリーチング」をお勧めしています。

具体的には、ご自分専用の薄型のトレーにブリーチング・ジェルを塗布し寝ている間にはめて歯を白くする方法です。

早い人で2週間目から白さを実感できます。
ゆっくりジェルを浸透させることで「自然な白さ」を手に入れられることができます。

 

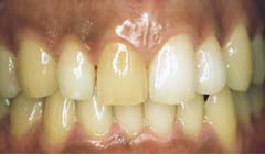
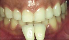
    ■ダイレクトベニア■

施術前
施術後

前歯の2番目の歯をご覧下さい。

施術前と施術後では、見た目はもとより咬み合わせも良くなっているのがおわかり頂けます。

 

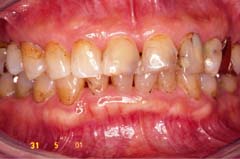
■異物の除去■

施術前
異物
施術後

「施術前」の写真は、他院から紹介で受診された患者さんのものです。治療中には不測の事態が起きることがあります。

写真には治療用の器具が写っています。

折れた器具を技術を駆使して取り去り、通常通り根を薬で詰めて治療は完了します。

 

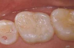
■ダイレクトボンディング■

施術前
施術後

ダイレクトボンディングとは、初期虫歯や小さな金属の再修復や変色した詰め物の再修復などに最適な治療方法です。

上記の写真は、最近ではほとんど見かけないアマルガムで治療されていました。(歯の変色や金属イオンの流出が体の健康を損なうと懸念されています。)
色調の改善だけではなく、歯が持つ本来の形態に修復し、咬む機能も同時に取り戻します。

 

■ポーセレンベニア■

施術前
施術後
 

 

 

 

 

 


 

 

 

運営:
かかりつけ医認知度アップ委員会

提供:
有限会社メディコ コンサルティング

Copyright (C)2004 Medico Consulting